Crowns Smile Reveal
Case study involves Dental Buildups, and Crowns procedures
Smile Reveal #1
A perfect smile revealinvolving Dental Buildups and Crowns

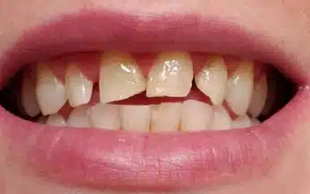
Before

After
Look how happy our patient looks after she received the services here at South Airdrie Smiles. We did buildups on her teeth and then recently provided crowns for the two teeth we built up. Her teeth were severely worn down. Now, she can’t seem to get enough of her gorgeous smile!
Smile Reveal #2
A perfect smile revealinvolving pulpotomies / stainless steel crowns

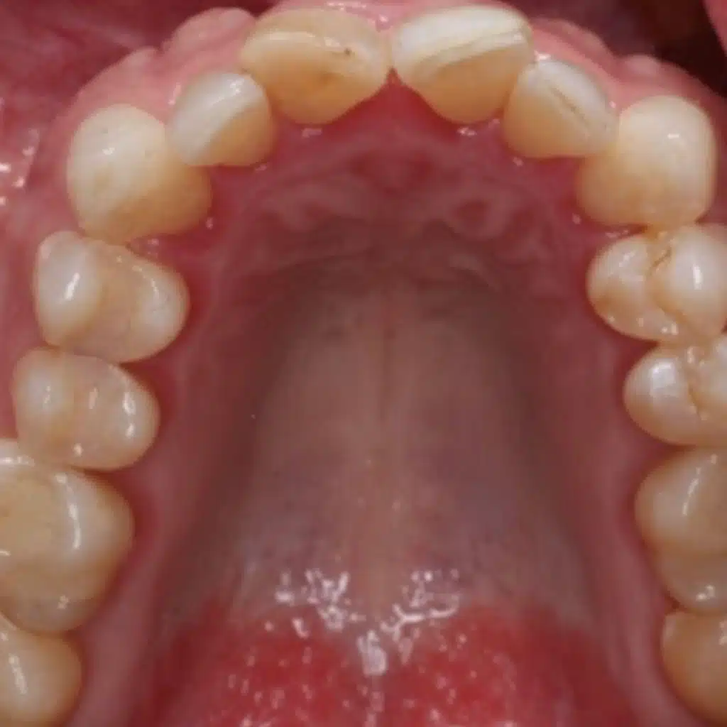
Before

After
Look how happy our patient looks after she received the services here at South Airdrie Smiles. We did buildups on her teeth and then recently provided pulpotomies / stainless steel crowns for the two teeth we built up. Her teeth were severely worn down. Now, she can’t seem to get enough of her gorgeous smile!
Case study involves Invisalign, Crowns & Bioclear on patient
Smile Reveal #3
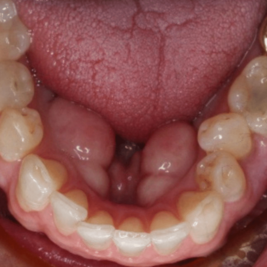
Before gettingInvisalign & Crowns


Before
Check out the difference between the two pictures. The patient came to our dental office with issues of teeth misalignment. Our dentist decided to place dental crowns and opt for Bioclear for his set of teeth.
Smile Reveal #4
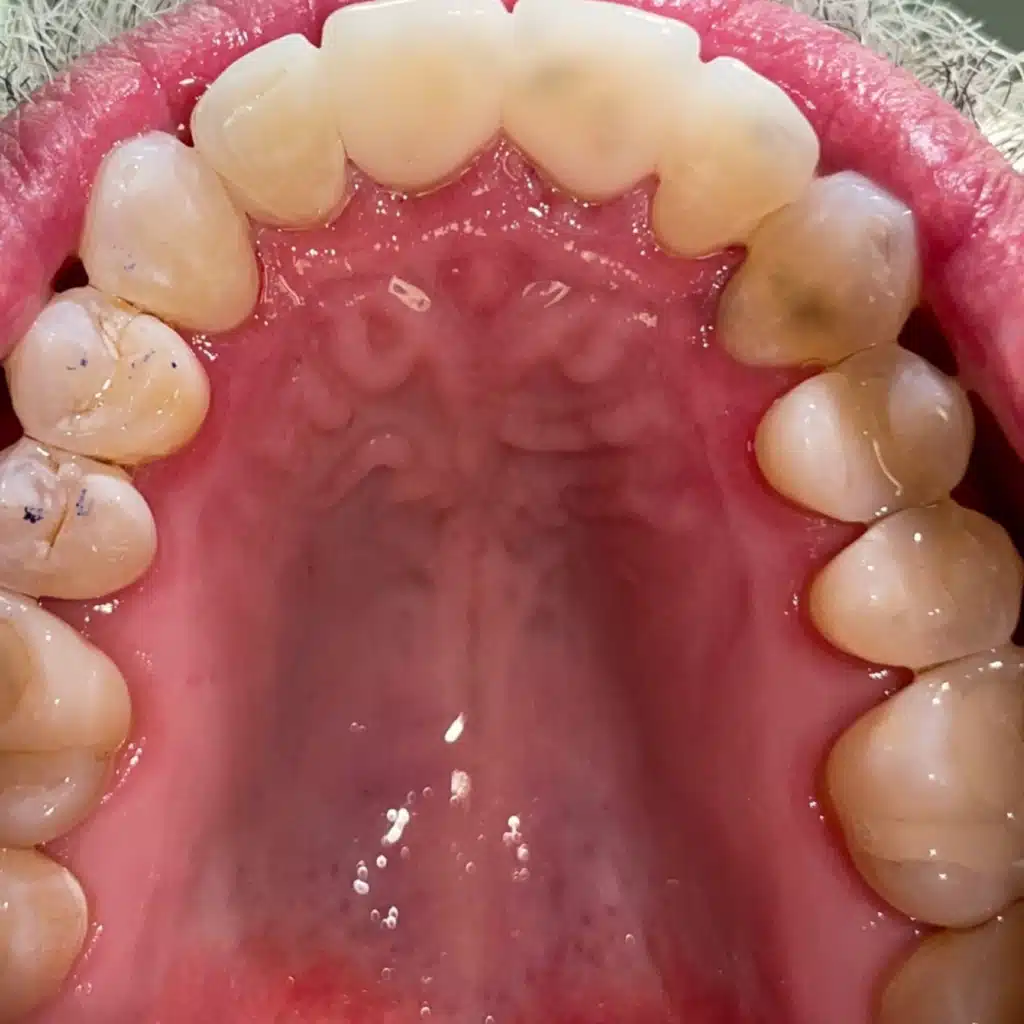
After gettingInvisalign, two anterior Crowns & Bioclear


After
We used Invisalign aligners and two anterior crowns and our patient’s smile has completely transformed. Definitely, a smile makeover that he will forever remember! You can also visit us at South Airdrie Smiles for a complete smile transformation.
Smile Reveal #5
Before & After gettingCrowns

Before

After
Check out how getting dental crowns at our dental office can help you achieve a perfectly flawless smile. Now you can get rid of yellowish and damaged teeth by just consulting our dentist. We are here to help you out in the best way possible.


