Orthodontics Smile Reveal
Smile Reveal #1
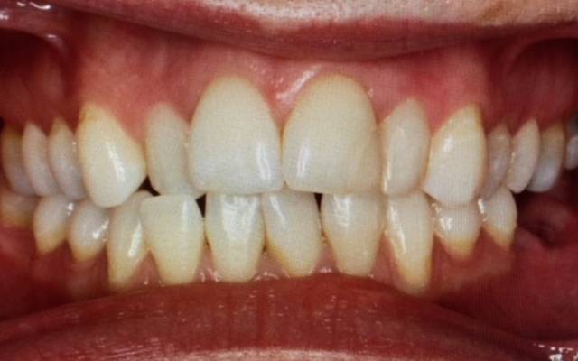
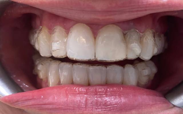
Before and half way there withOrthodontics & Teeth Whitening Treatment

Before

Half-way
Look at how happy our patient looks with the services here at South Airdrie Smiles. This is her first time with us. We are only halfway through the process and the results from her orthodontic treatment look top-notch. She also got a whitening procedure and can’t seem to get enough of her dazzling smile!
Smile Reveal #2
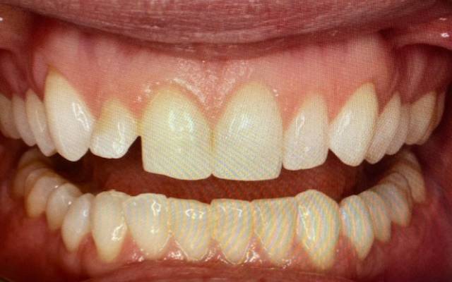
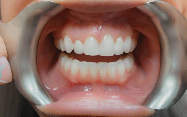
Post-treatment Smile RevealWe Smile When You Smile

Before

After
The patient looks very pleased after the entire procedure is over. Her new dental crowns have completely transformed her smile. The orthodontic and whitening treatment has elevated her smile to the next level. First time experience at South Airdrie Smiles and she loves it!


