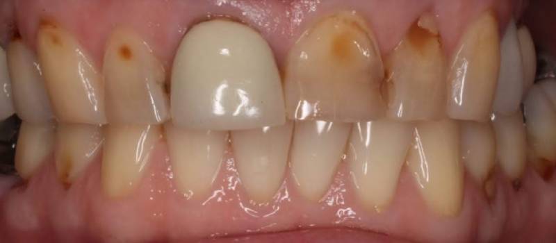
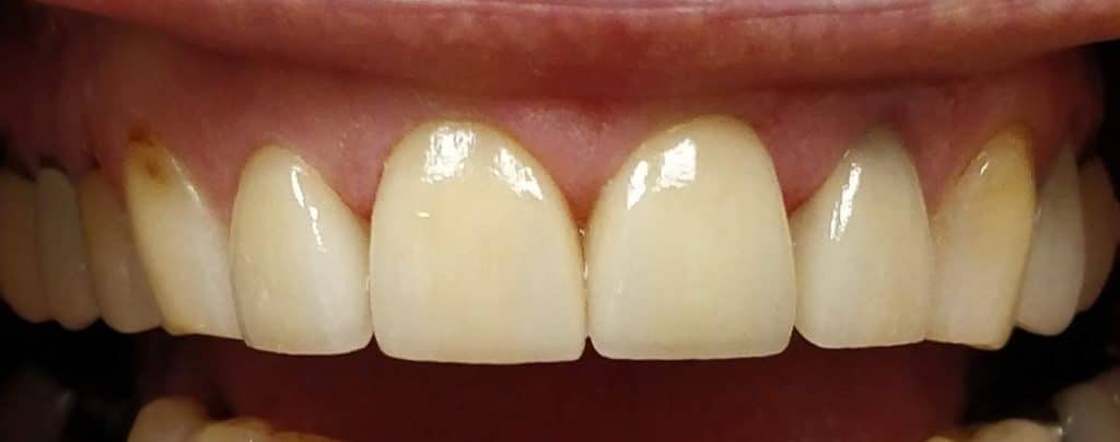
Veneers Smile Reveal

Smile Reveal #6
A classic example of
smile improvement with Veneers
Image
Before
Image
Half-way
Image
After